Odontologia Estética

  • Facetas de Porcelana

    Facetas de Porcelana

    As famosas facetas de porcelana e as lentes de contato dental deixam o sorriso mais bonito e trazem benefícios para a saúde e estética bucais. Com elas, é possível conquistar um sorriso iluminado, livre de manchas e tom amarelado. Os dentes se tornam alinhados em formato e tamanho, garantindo um sorriso encantador.

  • Coroas em Porcelana

    Coroas em Porcelana

    As coroas de porcelana são próteses dentárias fixas unitárias ou não, que servem tanto para estética quanto para devolução da capacidade mastigatória. Elas recuperam dentes quebrados, desgastados, com restaurações ou cáries extensas. É um tratamento que também ajuda a reabilitar seu sorriso, retomando sua autoestima.

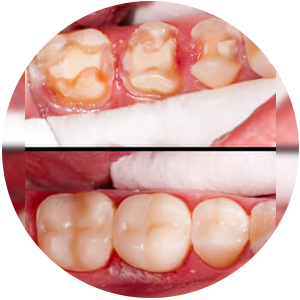
  • Restauração onlay e inlay

    Restauração onlay e inlay

    Onlay/Inlay são próteses usadas para recuperar as partes perdidas dos dentes devido a cáries, fraturas, desgastes, substituição de amálgamas extensos e espaços entre os dentes. Seu uso é comum em casos de destruição ou desgaste entre 30 e 40% do dente. As próteses são confeccionadas em laboratório, garantindo um resultado de qualidade e durabilidade.

  • Próteses Protocolo - Dentadura fixa

    Próteses Protocolo - Dentadura fixa

    Os pacientes que usam dentaduras convencionais perdem muito em qualidade de vida, função mastigatória, social e autoestima. Nesses casos, as próteses tipo protocolo vem para ajudar muito a vida dessas pessoas. Trata-se de uma dentadura fixa sobre implantes, que entrega um melhor resultado estético e contribui positivamente para funções como mastigação e fala.

  • Fechamento de diastema

    Fechamento de diastema

    Diastema é um espaço entre os dentes, normalmente nos dentes incisivos centrais, podendo ocorrer em outras regiões com menos frequência. Não é uma patologia, mas pode trazer problemas estéticos ou até inflamação na gengiva, se não realizar a higienização bucal de forma adequada. Existe a possibilidade de fechar o diastema para evitar esses problemas, utilizando diferentes técnicas.

  • Clareamento Dental

    Clareamento Dental

    Tratamento destinado ao clareamento de tons amarelados dos dentes naturais. Ele ajuda a ter um sorriso iluminado, livre de pigmentos que escurecem os dentes. O paciente pode escolher entre o clareamento dental caseiro ou o clareamento dental feito em consultório. Ambos são altamente eficazes e entregam um excelente resultado.

  • Implantes dentários

    Implantes dentários

    Os implantes dentários são tratamentos de estética dental que têm como finalidade repor a raiz do dente natural que foi perdido. Eles são pinos de titânio ou zircônia sobre os quais as próteses são colocadas. É um tratamento seguro, que não compromete eventuais dentes adjacentes e ajuda a reabilitar o sorriso.

     

  • Reabilitação oral

    Reabilitação oral

    A reabilitação oral devolve a estética e a função oral, por meio de tratamentos específicos como o uso de implantes e de prótese dentária. O foco é proporcionar uma dentição completa e bem articulada ao paciente, evitando problemas no maxilar e na mandíbula. 

  • Lentes de Contato Dental

    Lentes de Contato Dental

    A lente de contato dental é o investimento ideal para quem sonha em ter um sorriso perfeito, com dentes alinhados e uniformes na cor e no formato. O procedimento corrige irregularidades de cor e formato dos dentes naturais. Conheça nossa estrutura completa e recursos para te atender.

Odontologia Estética em Curitiba

Está em busca de dentista em Curitiba para melhorar a estética do sorriso? Então, saiba que a clínica Larissa Odonto tem um portfólio completo para te atender, bem como uma equipe especializada e uma estrutura completa, moderna e segura.

Disponibilizamos diferentes tratamentos de odontologia estética, que têm como foco tornar o sorriso do paciente muito mais bonito. Alguns desses procedimentos ainda ajudam a reabilitar funções importantes, como a mastigatória.

E quais são os tratamentos de estética dental que você pode fazer conosco? O clareamento dental é um dos principais tratamentos que disponibilizamos, procedimento que ajuda a se livrar do sorriso amarelado que incomoda muitos.

Também disponibilizamos o tratamento com coroas em porcelana, para reabilitação do dente e do sorriso, garantindo um resultado duradouro ao paciente, valendo a pena o investimento.

Nossa equipe também é especializada em implante dentário e próteses sobre implantes. Ao fazer tais tratamentos conosco, você terá um atendimento personalizado, voltado a entregar o melhor resultado funcional e estético.

Realizamos tratamentos como a restauração onlay e inlay, que possibilita a recuperação de dentes naturais que foram extensamente danificados. Se seu caso for mais complexo, é possível realizar a reabilitação oral, que abrange procedimentos de diferentes áreas.

Aqui em nosso consultório você também pode realizar tratamentos como o fechamento de diastema, faceta de porcelana e lente de contato dental, que têm foco mais estético, ajudando a conquistar o sorriso perfeito.

Outros tratamentos odontológicos que disponibilizamos

Vale citar que também realizamos tratamentos de outras especialidades, cuidando de sua saúde bucal como um todo. Entre os principais, destaque para os de periodontia, que preservam a gengiva e dentes do paciente.

Realizamos atendimento de clínica geral, para prevenção e manutenção da saúde bucal, contemplando remoção de cáries e tártaro, limpeza, aplicação de flúor, polimento e ajustes de restaurações, avaliação de hábitos parafuncionais, entre outros.

Também prestamos atendimento especializado, como o voltado para a melhor idade, atendendo necessidades especiais desse público. Realizamos tratamentos de pacientes acamados, contribuindo para que tenham uma melhora de sua condição de saúde geral.

Nossa equipe faz atendimento pré-natal odontológico, colaborando para evitar parto prematuro ou baixo peso do feto, inclusive para que a futura mamãe passe pelo período de gestação com a saúde bucal em dia, evitando complicações.

Além disso, temos um atendimento dedicado à reabilitação oral de pacientes diabéticos, com um especialista que indicará quais os tratamentos mais adequados para cada caso, após avaliação do paciente.

Aproveite para conhecer nossos tratamentos odontológicos, inclusive para agendar uma avaliação e realizar procedimentos com dentistas especialistas em Curitiba.

Entre em contato conosco

Nosso consultório odontológico possui estrutura completa e moderna, bem como uma equipe de dentistas experientes e atualizados. Nosso atendimento é humanizado e personalizado, para oferecer a melhor experiência e resultado ao paciente, tanto em procedimentos estéticos como de saúde bucal.

Utilizamos recursos tecnológicos modernos nos tratamentos e nossa equipe é capacitada para usar esses equipamentos de forma correta, com procedimentos altamente qualificados.

Não perca tempo, agende uma consulta via WhatsApp e realize tratamentos dentários com uma equipe qualificada, usando materiais de excelente procedência e garantindo o melhor resultado! 

ENTRE EM
CONTATO

Entre em Contato