Facetas de Porcelana

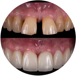
As famosas facetas de porcelana deixam o sorriso mais bonito e trazem benefícios para a saúde e estética bucais. Elas podem melhorar muito a aparência de uma pessoa e ajudam a recuperar a autoconfiança e autoestima.

Além disso, as facetas melhoram a função mastigatória, corrigem a dentição e têm excelente durabilidade. Elas são indicadas para melhorar o formato dos dentes e uniformizar a cor do esmalte dental, proporcionando uma aparência de dentes brancos e em harmonia.

Para dar sequência ao tratamento, é necessário um planejamento completo com exames, análise do tipo de mordida do paciente e parafunções (hábitos nocivos) existentes, uma vez que este tratamento é irreversível.

As visitas ao dentista devem ser regulares e é importante controlar hábitos parafuncionais (roer unhas, bruxismo e morder objetos), para manter os resultados. São tratamentos que não permitem reparo, então se algo acontecer é necessário refazê-los.

Como são feitos em porcelana, têm alta resistência e não alteram a cor, pois é um material de longa durabilidade e estima-se que sua vida útil seja de até 10 anos. Descubra mais detalhes sobre esses tratamentos odontológicos estéticos!

Facetas de Porcelana

Facetas de porcelana: o que são?

As facetas de porcelana são próteses superdelgadas que são aplicadas na superfície do dente, alterando sua aparência. É um tratamento que entrega um resultado natural, garantindo um sorriso harmônico, sem manchas ou amarelados e alinhado.

O material possui boa resistência a danos, permanecendo em bom estado por muito tempo. Além disso, é um tratamento odontológico estético indolor, portanto, ideal se você quer ter um sorriso incrível, mas possui medo de tratamentos dentários.

Quem pode usar faceta de porcelana?

Indica-se o uso das facetas somente por adultos, pois já passaram pela fase de desenvolvimento facial e dos dentes naturais. Além disso, esse tratamento costuma ser mais indicado para pacientes com problemas mais severos e difíceis de serem resolvidos com a lente de contato dental.

Confira, a seguir, casos comuns de indicação de tratamentos com facetas de porcelana:

  • Melhora da estética do sorriso;
  • Correção de anomalias;
  • Diastemas (espaço entre os dentes);
  • Correção de cores diferentes entre os dentes, harmonizando a tonalidade do sorriso;
  • Adultos (já finalizaram o ciclo de crescimento e desenvolvimento dos dentes) com condições de saúde bucal em dia.

Benefícios da faceta de porcelana em Curitiba

O tratamento é perfeito para conquistar um sorriso incrível, eliminando problemas como manchas, tom amarelado, irregularidades de formato e tamanho, bem como fraturas.

Assim, é possível retomar sua autoestima, conseguindo sorrir, se relacionar melhor com outras pessoas e ter maior desenvoltura no trabalho. Além disso, são tratamentos que valem a pena em curto e longo prazos, pois possuem maior vida útil.

Quer fazer o tratamento e aproveitar esses benefícios? Então, agende uma consulta com dentista estética Curitiba em nosso consultório, que conta com recursos modernos e equipe capacitada para te atender!

Além das facetas e lentes, também disponibilizamos tratamentos como o de prótese sobre implantes, periodontia, clareamento dental, reabilitação oral, entre outros.

Indicações:
  • Estética;
  • Anomalias;
  • Diastemas (espaço entre os dentes);
  • Cores diferente entre os dentes;
  • Adultos (já finalizaram o ciclo de crescimento e desenvolvimento dos dentes) com condições de saúde bucal em cia.
Alerta

De maneira geral, não se indica a realização desses tratamentos por crianças e adolescentes, pois ainda estão em fase de desenvolvimento dos dentes.

Além disso, os procedimentos de odontologia estética não são indicados para quem não está com a saúde bucal em dia. Se tiver problemas como tártaro, cárie, gengivite, entre outros, primeiro se trata essas condições para depois fazer a aplicação das próteses sobre os dentes naturais.

Diferenças entre facetas e lentes de contato dental

A finalidade principal de ambos os tratamentos é melhorar a estética do sorriso, por isso é comum que os pacientes fiquem em dúvida sobre qual a diferença entre faceta de porcelana e lente de contato dental.

A diferença entre estes dois procedimentos que mais se destaca é a necessidade de desgaste na estrutura dental para colocação da prótese. Geralmente, ele é mínimo, mas tende a ser mais necessário no caso de aplicação da faceta.

Um detalhe importante: o desgaste não é obrigatório em todos os casos. Apenas o dentista é capaz de identificar a necessidade para colocação da prótese. Esse procedimento tem como foco garantir ao paciente um melhor resultado.

Há, ainda, outros pontos de diferença entre os tratamentos. Normalmente, a faceta é indicada para correção de casos mais severos, como dentes muito amarelados ou escurecidos.

Isso ocorre porque a faceta é sutilmente mais espessa do que a lente de contato dental, portanto, consegue cobrir imperfeições com maior facilidade, uniformizando cor e formato dos dentes.

Um detalhe importante: ainda que a faceta tenha uma espessura maior, ela ainda é imperceptível. Portanto, não garante um resultado artificial, pelo contrário, o sorriso se mantém natural.

Como são feitos os procedimentos com facetas de porcelana?

Inicialmente, as próteses são feitas por profissionais especialistas, com base na modelagem e outras informações que são passadas pelo dentista responsável pelo caso.

Quando as próteses estiverem prontas, inicia-se o processo de colocação, que é totalmente sem dor. Primeiro, o dentista limpa a superfície do dente, aplica um adesivo e coloca as próteses na superfície. Se houver necessidade de desgaste do dente natural, esse processo é feito antes de todas essas etapas.

Quais são os cuidados com as facetas de porcelana no pós-procedimento?

Recomenda-se que o paciente siga hábitos de higiene bucal, para evitar problemas nos dentes e próteses. Também se indica que reduza o consumo de alimentos e bebidas com corantes em excesso ou que sejam duros. Assim, é possível evitar manchas ou quebras das próteses.

Caso tenha o hábito de roer unhas ou de mastigar materiais duros, como tampas de caneta, é importante que abandone esse costume. Dessa maneira, conseguirá reduzir a possibilidade de quebra da lente ou da faceta nos dentes.

E não se esqueça de consultar um dentista regularmente. Assim, conseguirá encontrar problemas logo no seu início, de modo a preservar as próteses e manter sua durabilidade.

ENTRE EM
CONTATO

Entre em Contato

DEPOIMENTOS